PATENT™ SYMBIONIC TEETH
THE NEXT GENERATION IN TOOTH REPLACEMENT
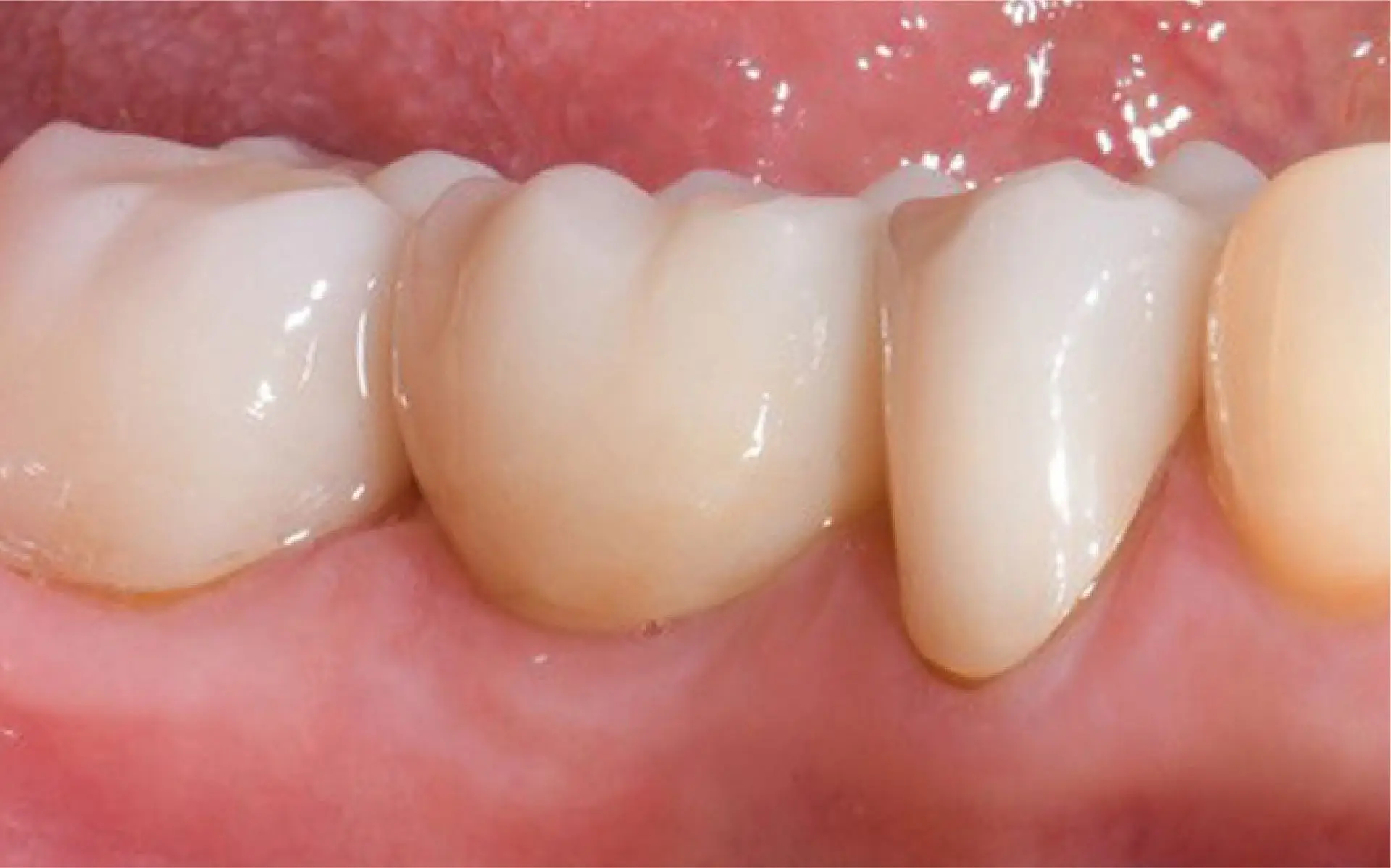
Symbionic teeth represent the latest generation of tooth replacement. They are the first solution to have demonstrated the formation of a robust mucosal defense barrier.
This barrier, created by a unique soft-tissue bond, is similar to that of a natural tooth, which protects the tissue against acute infections and chronic inflammation - ensuring permanent tissue health and stable esthetic results.
PATENT™ SYMBIONIC TEETH
THE NEXT GENERATION IN TOOTH REPLACEMENT
Symbionic teeth represent the latest generation of tooth replacement. They are the first solution to have demonstrated the formation of a robust mucosal defense barrier.
This barrier, created by a unique soft-tissue bond, is similar to that of a natural tooth, which protects the tissue against acute infections and chronic inflammation - ensuring permanent tissue health and stable esthetic results.
SYMBIONIC TEETH
SYMBIONIC TEETH
SYMBIOSIS
a mutually beneficial integration that contributes
to long-term existence
BIONIC
application of
insights from
nature to technology
SYMBIOSIS
a mutually beneficial
integration that contributes
to long-term existence
BIONIC
application of
insights from
nature to technology
THE BREAKTHROUGH IN RECONSTRUCTIVE DENTISTRY
THE BREAKTHROUGH IN RECONSTRUCTIVE DENTISTRY
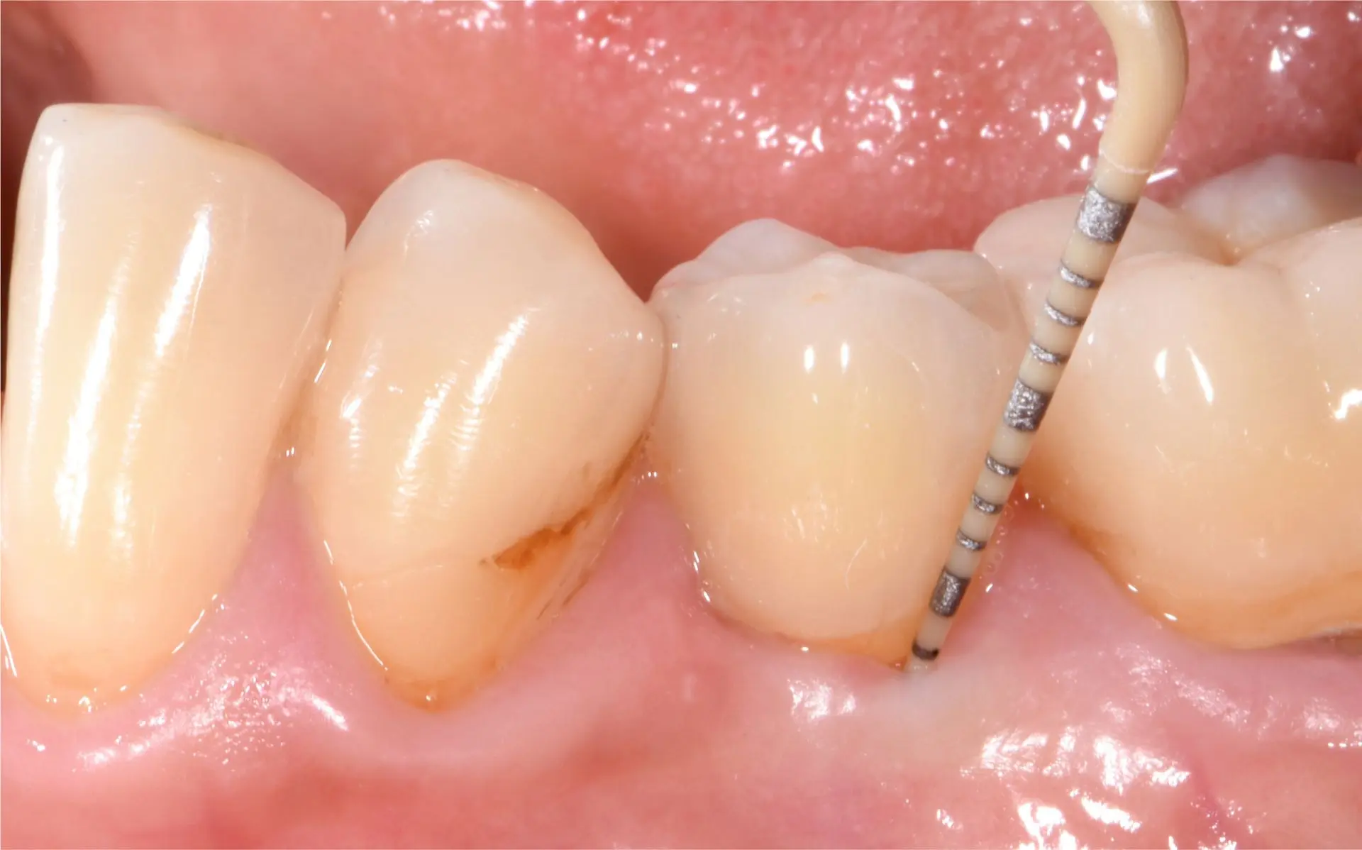
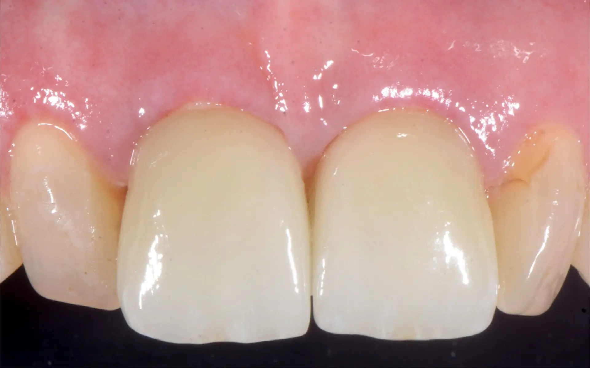
UNRIVALLED ESTHETIC RESULTS
Average mucosal recession after 9 years:
0.1 mm (±0.2 mm)

UNRIVALLED ESTHETIC RESULTS
Average mucosal recession after 9 years:
0.1 mm (±0.2 mm)


CLOSEST TO NATURE
CLOSEST TO NATURE
UNIQUE MUCOPHILIC SURFACE
UNIQUE MUCOPHILIC SURFACE
PATENT™ BIOXIDE-S
Bioxide-S is a polycrystalline oxide material developed to serve as the structural foundation for Patent™ Symbionic Teeth. Its microstructure, phase stability, and color characteristics are specifically defined through a finely tuned doping with lanthanides and other stabilizing oxides.
PATENTED MANUFACTURING
The unique composition of Bioxide-S, proprietary to Patent Medical, provides the essential substrate for the multi-patented manufacturing process, allowing for precisely controlled surface topography and roughness.
MINIMIZED SIDE EFFECTS
🟥 Peri-implantitis = Chronic inflammation of the bone with irreversible damage; high risk of implant loss.
🟨 Mucositis = Soft-tissue inflammation causing recession and compromised esthetics; progresses to peri-implantitis if untreated.
🟩 Biological Health = Healthy, stable hard and soft tissues; stable esthetics over time.
SYMBIONIC TEETH
DENTAL IMPLANTS
PATENT™ BIOXIDE-S
Bioxide-S is a polycrystalline oxide material developed to serve as the structural foundation for Patent™ Symbionic Teeth. Its microstructure, phase stability, and color characteristics are specifically defined through a finely tuned doping with lanthanides and other stabilizing oxides.
PATENTED MANUFACTURING
The unique composition of Bioxide-S, proprietary to Patent Medical, provides the essential substrate for the multi-patented manufacturing process, allowing for precisely controlled surface topography and roughness.
MINIMIZED SIDE EFFECTS
🟥 Peri-implantitis = Chronic inflammation of the bone with irreversible damage; high risk of implant loss.
🟨 Mucositis = Soft-tissue inflammation causing recession and compromised esthetics; progresses to peri-implantitis if untreated.
🟩 Biological Health = Healthy, stable hard and soft tissues; stable esthetics over time.
SYMBIONIC TEETH
DENTAL IMPLANTS
SCIENTIFICALLY VALIDATED & CLINICALLY PROVEN
MULTIPLE PEER-REVIEWED STUDIES
SCIENTIFICALLY VALIDATED & CLINICALLY PROVEN
20 YEARS OF CLINICAL PRACTICE
See Study
20 YEARS OF CLINICAL
PRACTICE
BECOME A CERTIFIED PARTNER
BECOME A CERTIFIED PARTNER
Patent Medical works exclusively with top-tier specialists who are expertly trained in applying the award-winning Patent™ Symbionic Teeth System, ensuring the highest quality of patient care. Ready to become a Patent™ Certified Partner?
Patent Medical works exclusively with top-tier specialists who are expertly trained in applying the award-winning Patent™ Symbionic Teeth System, ensuring the highest quality of patient care. Ready to become a Patent™ Certified Partner?

LASTING A LIFETIME



